ガミースマイルとは
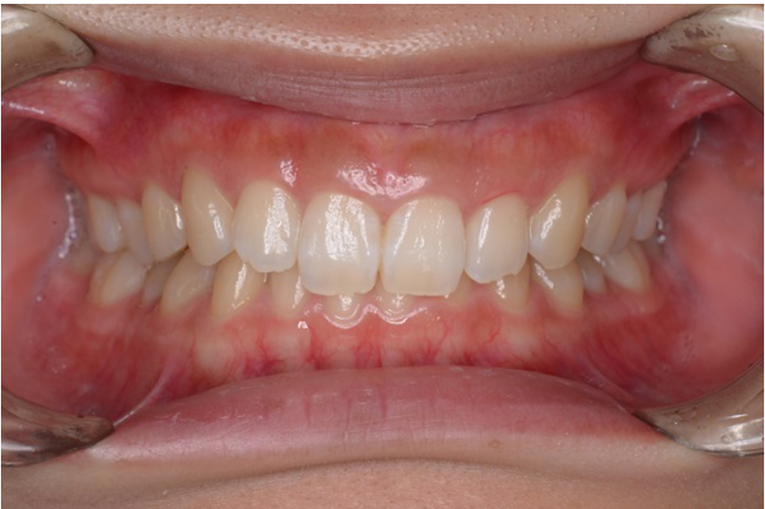
ガミースマイルとは、笑った時に上顎の歯茎が大きく見える状態を指します。
通常、笑った時に歯茎が縦3mm以上見えるケースをガミースマイルと定義します。
ガミースマイルは、病気ではありません。しかし見た目だけではなく、上顎の歯茎が乾燥したり、上の唇がくっついたりして、困っている方もいらっしゃいます。
当院では、そのような方々のためにガミースマイルの治療を行っております。
原因を探り、適切な治療法をご提案いたしますので、どうぞ安心してご相談ください。
このようなお悩みの方は一度ご相談ください
- 笑った時に上顎の歯茎が見えて恥ずかしい
- 笑った時に上顎の歯茎が3mm以上見えてしまう
- 3mmも見えないが、歯茎が目立つので気になる
- ガミースマイルが気になり笑う時に口元を手で隠してしまう
- 歯並びが原因なら矯正治療で一緒に治してしまいたい
- 原因が歯茎にあり「治せない」と言われた
- 原因を把握して、自分に合った方法でガミースマイルを治したい
- 歯並びがきれい、または矯正治療中なのにガミースマイルになっている
ガミースマイルの原因
ガミースマイルというと、「上顎や歯茎の問題」というイメージがあります。ただ、それ以外にもさまざまな原因があるため、きちんと原因に合った治療をしなければ、なかなか改善はできません。また、複数の原因が重なっているケースも少なくありません。
-
cause01 上顎骨の前方への過剰な発達
上顎の骨が前方へ過剰に発達していることで、唇が閉じにくく、笑った時に上顎前歯に唇が押し上げられ、前歯や歯茎が露出しやすくなります。それにより多くのケースで「出っ歯(上顎前突)」も見られます。
-
cause02 骨の位置が下がっている
上顎前歯の位置が通常より低いと、歯と歯肉の境目の位置が下がるため上顎の歯茎が露出しやすくなります。
見た目が面長の方は、上顎骨が縦に長く、上の前歯が下の位置にあるとガミースマイルになってしまうことがあります。 -
cause03 歯性の上顎前突(出っ歯)
上あごの骨の位置やサイズには問題がなく、歯だけが傾斜している場合もガミースマイルの原因の一つです。前歯がまっすぐに下に生えず、斜め前方へ生えているため、笑った時に前歯に沿って上唇が持ち上がりやすくなってしまい、歯茎も見えやすくなります。また、前歯の傾斜が激しい場合は口も閉じにくくなり、笑っていないときでも歯茎が見えてしまう可能性もあります。
-
cause04 上の前歯が
下の前歯に向かって伸びている
噛み合わせが深く、上顎前歯が下顎前歯に覆いかぶさり下の歯がほとんど見えなくなるような嚙み合わせ(過蓋咬合)になり、ガミースマイルが生じる原因になります。
-
cause05 歯の長さが短い・歯が小さい
歯の長さが短い・小さいという場合、相対的に歯茎の面積が大きくなり目立ちやすくなるため、ガミースマイルと認識されることがあります。
-
cause06 上唇を持ち上げる筋肉が過剰に発達
骨格や歯に問題はなく、上唇を持ち上げる筋肉が過剰に発達していることで笑顔になった際、上唇と歯茎の接合部付近まで上唇がぐっと持ち上げられてガミースマイルになってしまうことがあります。
ガミースマイルの原因は一つだけでなく、
いくつかの原因が複合的に関係し、ガミースマイルが発生する場合がほとんどです。
ガミースマイルの検査方法
口腔内写真
現在の歯並びの状態を写真撮影し、中心位置 (正中線)、噛み合わせ、上下第一大臼歯の位置関係を確認します。
治療前後を比較しやすくなり、患者様への説明にも使用します。
お顔の写真
笑ったときの歯や歯茎の見え方、歯並びの中心位置(正中線)など顔と口元のバランスを見ます。
型どり
型どりをして歯並びの石膏模型を作成します。噛み合わせの記録もとり、実際のロ腔内の状態を模型で再現します。
レントゲン
顎全体を撮影し、歯の位置や数、歯根の長さ、生え変わりの永久歯や親知らず等の埋まっている歯の状態を確認します。
CT撮影
歯が埋もれているガミースマイルの方の
本当の歯の長さを調べます。
虫歯の確認
虫歯がないか確認します。
セファロ
セファロ(頭部X線規格写真)は、矯正歯科専用の特殊なレントゲンです。
特定の条件下で撮影され、頭を基準として上下の顎骨の大きさと位置関係、下顎骨の形はどうか、歯に関する特徴として歯の傾き、前歯同士の角度、上下顎大臼歯の位置と位置関係などを確認します。
ガミースマイルの診断では、特に上顎骨の前後・上下的な位置関係と、上顎前歯と口唇の位置関係が重要になります。
ガミースマイルの治療方法
歯並び・骨格が原因である
場合の治療方法
出っ歯(上顎前突)などの歯並びを原因としている場合には、矯正治療によってガミースマイルの改善が期待できます。
矯正治療
歯科矯正装置を使って歯並びを改善する治療です。
当院では、ワイヤー矯正(表側・舌側)、インビザライン矯正に対応しています。出っ歯を改善することで、上顎の出っ張りが抑えられ、ガミースマイルの軽減・解消が期待できます。Eラインに近づけることも可能です。
矯正用アンカースクリュー
「矯正用に作られた小型のインプラント」のことを矯正用アンカースクリューと言い、顎の骨に埋入し、歯を動かすときの固定源にします。
矯正治療で出っ歯などの噛み合わせを整えると共に、矯正用アンカースクリューを使用することで上顎前歯の位置を引き上げガミースマイルを改善してきます。
外科手術+矯正治療
歯並びに加えて骨格に問題がある(上顎の過剰な発達など)場合には、矯正治療と外科手術を組み合わせることもあります。外科手術が必要な場合には入院が必要になるため、連携医療機関をご紹介します。
歯茎が原因である
場合の治療方法
出っ歯(上顎前突)などの歯並びを原因としている場合には、矯正治療によってガミースマイルの改善が期待できます。
歯冠長延長術
過剰な歯肉を切除し、本来の長さに戻す治療です。歯茎が覆いかぶさっていて相対的に短く見える症状に効果的です。
また、歯冠長延長術は上唇粘膜切除術やセラミック治療などと併用することで、より見えかたの改善効果が得られます。
歯肉切除(歯肉整形)
歯茎の過剰な発達が原因の場合に適しています。歯が自然な範囲で露出するよう、歯茎を切除します。
歯冠長延長術よりも侵襲の少ない治療ですが、治療後に再度歯茎が増殖してしまうことがあります。
前歯の長さが短い・前歯が小さい場合の治療方法
セラミック治療
前歯の露出面積が狭い場合などに有効です。歯を削ってセラミックの被せ物を取り付けることで、歯と歯茎のバランスを整え、ガミースマイルに見えづらくします。歯並び・歯の色・形まで同時に調整できる、歯茎に触らず改善できるメリットがあります。
上唇や筋肉が原因である
場合の治療方法
ボトックス注射
※当院では行っておりません
上唇挙筋が強すぎることでガミースマイルになっている場合には、この上挙筋の働きを抑制するボトックス注射が有効です。適度に筋肉の働きを抑制することで、笑った時にも上唇があがりにくくなります。 効果は平均して6か月程度のため、継続して行う必要があります。
自力で治すことは難しい?
ガミースマイルの原因は、上顎の骨や歯茎の過剰な発達、上唇を持ち上げる筋肉の強さ、前歯の短さ・小ささなどにあり、遺伝の影響も小さくありません。一度ガミースマイルになり、そこから自力で改善・解消するというのはほぼ不可能とお考えください。ガミースマイルを改善・解消するためには、歯科医院での治療が必要になります。
なお予防法としては、子どもの頃に矯正治療を受けておくことが重要なポイントとなります。小児矯正であれば、歯並びの乱れだけでなく、 上顎の過剰な発達も抑制することが可能です。
症例
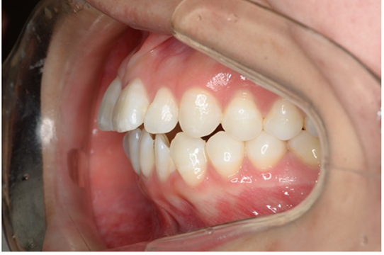
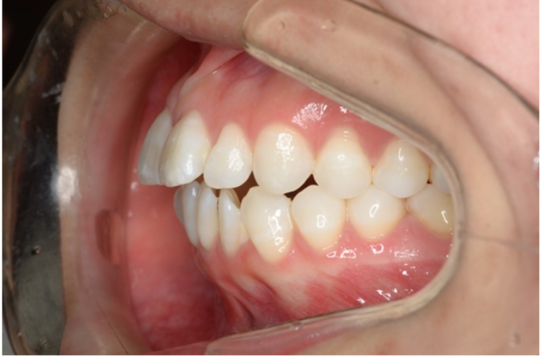
case1
before
after
主訴
笑った時に歯茎が見える、噛んだ時に下の歯が見えない
| 年齢 | 26歳 |
|---|---|
| 診断 | ガミースマイルおよび過蓋咬合をともなうⅡ級Ⅱ類症例 |
| 治療内容 | 大臼歯のかみ合わせのずれを遠心移動で治し、下顎前歯の叢生を少量のIPRと歯列の拡大で綺麗にしていきました。 ガミースマイルは上顎のアライナーにCutを入れ、矯正用アンカースクリューを埋入し顎間ゴムで上顎前歯を圧下して改善しました。 |
| 診断 | マウスピース型矯正(インビザライン) 矯正用アンカースクリュー 顎間ゴム |
| 抜歯部位 | 非抜歯 |
|---|---|
| 治療期間 | 11か月 |
| 費用 | ¥850,000 |
| リスク・副作用 | 最初は矯正装置による不快感、痛み等があります。数日間~1、3週間で慣れることが多いです。 歯の動き方には個人差があります。そのため、予想された治療期間が延長する可能性があります。 |
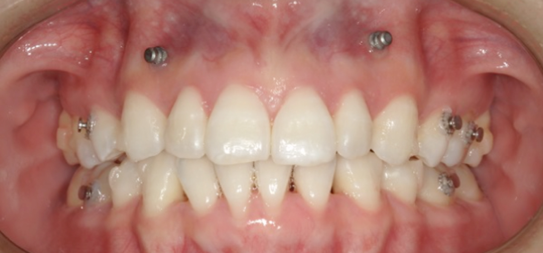
case2
before
after
主訴
笑った時に歯茎が見える、出っ歯、歯がガタガタ
| 年齢 | 24歳 |
|---|---|
| 診断 | ガミースマイルおよび口唇の突出をともなうハイアングル症例 |
| 治療内容 | 口元改善のため上下左右4番を抜歯し、前歯を後ろに引きました。 ガミースマイルは上顎のアライナーにCutを入れ、矯正用アンカースクリューを埋入し顎間ゴムで上顎前歯を圧下して改善しました。 |
| 診断 | マウスピース型矯正(インビザライン) 矯正用アンカースクリュー 顎間ゴム |
| 抜歯部位 | 上下左右4 |
|---|---|
| 治療期間 | 3年 |
| 費用 | ¥850,000 |
| リスク・副作用 | 最初は矯正装置による不快感、痛み等があります。数日間~1、3週間で慣れることが多いです。 歯の動き方には個人差があります。そのため、予想された治療期間が延長する可能性があります。 |
case3
before
after
主訴
上の歯茎が笑った時に見えるのが気になる
| 年齢 | 23歳 |
|---|---|
| 診断 | ガミーを伴うアングルⅡ級過蓋咬合症例 |
| 治療内容 | インビザラインと顎間ゴムを使用して臼歯を遠心移動して歯を動かしました。 ガミーは上顎前歯を引きながら上顎に矯正用アンカースクリューを埋入し顎間ゴムで圧下しながら改善しました。 |
| 診断 | マウスピース型矯正(インビザライン) 矯正用アンカースクリュー |
| 抜歯部位 | 上左右8 |
|---|---|
| 治療期間 | 3年 |
| 費用 | ¥750,000 |
| リスク・副作用 | 最初は矯正装置による不快感、痛み等があります。数日間~1、2週間で慣れることが多いです。 歯の動き方には個人差があります。そのため、予想された治療期間が延長する可能性があります。 |
case4
before
after
主訴
ガタガタ
| 年齢 | 20歳 |
|---|---|
| 診断 | ガミーを伴う重度な過蓋咬合 骨格性Ⅱ級アングルⅡ級叢生症例 |
| 治療内容 | 叢生改善のため上下左右4番を抜歯し、遠心移動で歯を動かしました。 ガミーは、上顎に矯正用アンカースクリューを埋入し臼歯を固定源としてワイヤーベンディングにより圧下して改善しました。 |
| 診断 | ラビアル(唇側矯正) 矯正用アンカースクリュー |
| 抜歯部位 | 上下左右4 |
|---|---|
| 治療期間 | 3年 |
| 費用 | ¥810,000 |
| リスク・副作用 | 最初は矯正装置による不快感、痛み等があります。数日間~1、4週間で慣れることが多いです。 歯の動き方には個人差があります。そのため、予想された治療期間が延長する可能性があります。 |
case5
before
after
主訴
笑った時に歯茎が見える、噛み合わせ深い、ガタガタ
| 年齢 | 19歳 |
|---|---|
| 診断 | ガミー及び右下2埋伏を伴う過蓋咬合症例 |
| 治療内容 | 右下2番が埋伏してたため、まず抜歯してから矯正を始めました。 カリエールを使用し臼歯を遠心移動してから、臼歯を固定して前歯を圧下しながら前歯を後方に移動させガミーも同時に改善しました。その後右下2番にインプラント埋入しました。 |
| 診断 | ラビアル(唇側矯正) 矯正用アンカースクリュー |
| 抜歯部位 | 右下2 |
|---|---|
| 治療期間 | 3年 |
| 費用 | 矯正:¥940,000 インプラント:¥470,000 |
| リスク・副作用 | 最初は矯正装置による不快感、痛み等があります。数日間~1、5週間で慣れることが多いです。 歯の動き方には個人差があります。そのため、予想された治療期間が延長する可能性があります。 |
case6
before
after
主訴
笑った時に歯茎が見える、出っ歯、ガタガタ
| 年齢 | 14歳 |
|---|---|
| 診断 | ガミー及び口唇の突出を伴う骨格性Ⅱ級ハイアングル症例 |
| 治療内容 | 口元改善のため上下左右4番を抜歯し、前歯を後ろに引きました。 ガミーは上顎にボタンをつけ矯正用アンカースクリューを埋入し、ゴムで上顎全体を圧下して改善しました。 |
| 診断 | ハーフリンガル(舌側矯正) 矯正用アンカースクリュー |
| 抜歯部位 | 上下左右4 |
|---|---|
| 治療期間 | 4年 |
| 費用 | ¥1,080,000 |
| リスク・副作用 | 最初は矯正装置による不快感、痛み等があります。数日間~1、3週間で慣れることが多いです。 歯の動き方には個人差があります。そのため、予想された治療期間が延長する可能性があります。 |






