SCROLL
抜歯の前に、
精密 根管治療
という選択肢を
自分の歯で 噛むことの大切さ
歯を失った場合、そこを補うために人工物で噛むことになります。
機能は補えるものの、天然歯と比べると人工歯には歯根膜というセンサーでもあり、
衝撃吸収装置でもある器官がないため噛み心地や違和感が出やすく、
食事や会話の快適さにも影響することがあります。
自分の歯を残すことは、見た目の自然さだけでなく、
日々の生活の質を守ることにもつながります。
自分の歯を残すために必要な精密根管治療
Advantages of Root Canal Treatment


精密根管治療で
歯を残せる可能性を高める
保険診療の根管治療では、使用できる器具や材料に制限があります。そのため、どうしても治療の精度に限界があり、再治療や抜歯になるケースもあります。
一方、自費診療の精密根管治療では、マイクロスコープやCT、ラバーダムなどこだわりの専門的な器具や材料を活用できます。それによって保険診療では困難と言われた歯の治療を可能にすることができるのです。
精密根管治療は
将来への投資
精密根管治療は初期のコストはかかりますが、再発リスクの低減や追加治療の回避により、長期的には費用削減につながります。自分の歯を守ることで噛む力や口腔健康を維持でき、将来的な医療費の負担も軽くなります。
高い治療品質と個別化されたアプローチを選ぶことは、健康と経済の両面で賢い選択と言えます。
各治療ごとの費用・成功率の比較
日本歯内療法学会編『歯肉療法第5版』医歯薬出版(2019)より引用
- 根管治療で再治療が必要になるケース
- 細菌の残存、被せ物の適合不良から起こる二次感染、むし歯や根尖性歯周炎の再発などが挙げられます。
FEATURE
当院の根管治療の特徴
豊富な経験と専門技術で、
歯を残す治療を追求
根管治療は歯科治療の中でも特に難易度が高く、医師の経験と技術が治療の成否を左右します。 当院の院長は、これまで数多くの複雑な症例に対応してきた豊富な実績を持ち、精密な処置と再発を防ぐ治療を徹底しています。他院で「抜歯しかない」と診断されたケースでも、歯を残せる可能性を最大限に引き出す治療をご提案します。
自由診療だからこそ可能な、
精密な診断と治療
歯の内部は複雑で肉眼では見えにくいため、治療精度を高めるには高度な機器が欠かせません。当院ではマイクロスコープやCTを活用し、目に見えない部分までしっかり把握したうえで治療を行います。これらは自由診療だからこそ導入できる体制です。
こだわりの材料と器具で、
より精緻な治療
根管治療を成功に導くには、使用する器材や薬剤の選択も大切です。当院ではニッケルチタンファイルによるしなやかな操作性や、MTAセメントによる封鎖性の高さを活かし、より再発リスクを抑えた治療を目指しています。これらも自由診療ならではの選択肢です。
-
徹底した感染対策で
安全・清潔な治療環境根管治療は歯の奥深くを扱う繊細な治療です。そのため、無菌的な環境を整えることが何より重要です。当院では世界基準の滅菌システムを導入し、使用する器具を滅菌しています。さらに治療の際は唾液中の細菌の侵入を防ぐラバーダムを用いた治療を徹底しています。安心して治療を受けていただける環境を整えております。
特徴の詳細を見る -
被せ物までをこだわり、
長期安定を目指す治療根管治療は、治療そのものだけでなく「その後の被せ物」によって歯の寿命が大きく左右されます。そのため当院では、長期的な予後を見据え、治療後の被せ物まで一貫してこだわった治療を行っています。
被せ物のなかでもジルコニアは、高い強度と優れた審美性を兼ね備え、さらに歯との適合精度にも優れているため、むし歯の再発予防にもつながります。
精密根管治療を長持ちさせる秘訣は、この「被せ物の適合性」にあり、適合の良さこそが治療の成功率を高める重要な要素です。当院では、大切な歯をより良い状態で長く保つために、最適な治療方法をご提案いたします。
特徴の詳細を見る
CASE
症例紹介
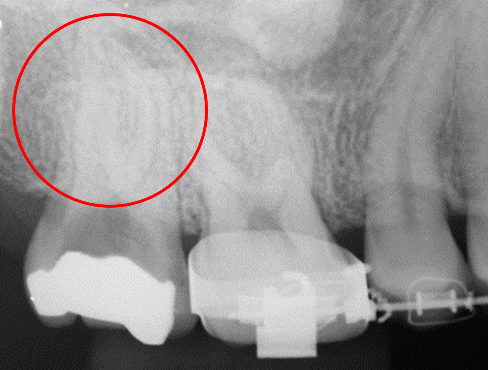
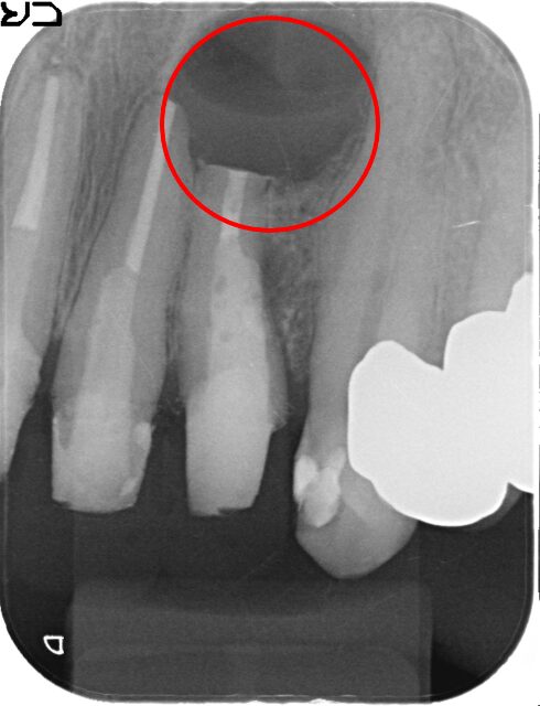
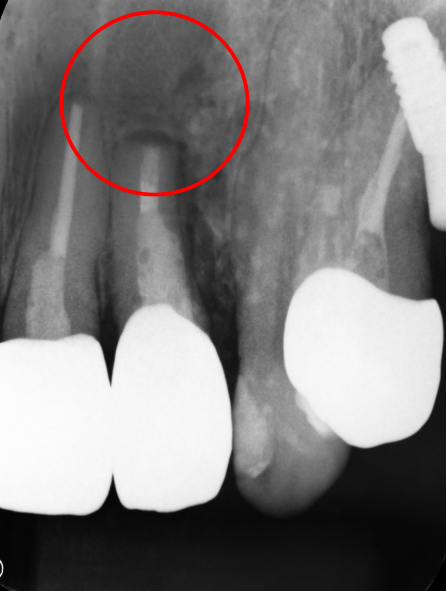
CASE01
抜髄30代 女性
-


初診時
-


治療後
主訴
右上奥歯が痛い。
治療の概要
虫歯が歯髄に到達していたため、抜髄して根管充填を行いました。
リスクと副作用
コストがかかる。
- 治療費
- 176,000円
- 治療回数
- 2回
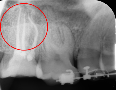
CASE02
感染根管治療20代 男性
-


初診時
-


治療後
主訴
歯茎が腫れて違和感がある。
治療の概要
歯髄壊死していたため、感染根管処置を行い、歯根充填をした。
リスクと副作用
コストがかかる。
- 治療費
- 176,000円
- 治療回数
- 2回
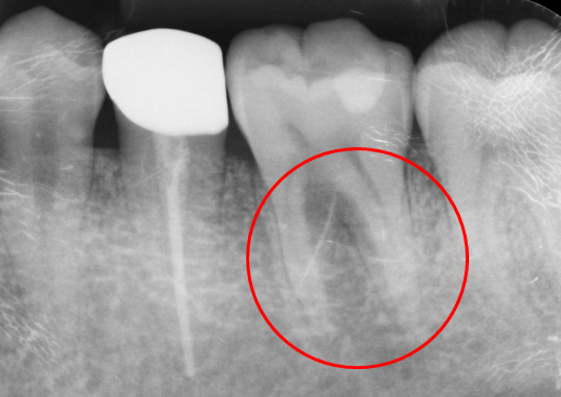
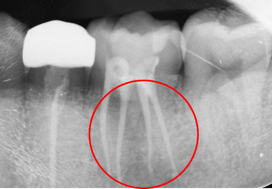
CASE03
歯根端切除術逆根管充填50代 女性
-


初診時
-


治療後
-


1年後
主訴
前歯の歯ぐきが腫れた。
治療の概要
根管治療では治らない歯に対して、根の先端を切除しそこから特殊な器具で穴をあけ、MTAという材料を充填し封鎖をはかりました。
1年後のレントゲンでは、根尖の病変がなくなり、骨ができています。
リスクと副作用
コストがかかる。 外科処置が必要になる。
- 治療費
- 121,000円
- 治療回数
- 1回
DOCTOR
院長あいさつ
自分自身の歯で食事をしたいと思っている方の想いに応えます
これまで多くの患者さまの治療に携わる中で、 「できれば抜きたくない、自分の歯でいたい」「なんとか歯を残したい」―― そんな想いを、たくさん耳にしてきました。
確かに、抜歯後には入れ歯やブリッジ、インプラントなどで補うことはできます。
しかし、どんなに優れた人工の歯であっても、自分の歯で噛むという“当たり前”こそが、一番の喜びです。
噛む感覚、味わい、そして笑ったときの自然な表情。
それらは、ご自身の歯だからこそ得られるものです。
だからこそ私たちは、「もう抜くしかない」と言われた歯であっても、
“残せる可能性があるなら、最後まであきらめない”という思いで治療に臨んでいます。
かつては「すぐに抜歯」というのが一般的な考え方でしたが、今は「できるだけ歯を残す時代」へと変わりつつあります。
歯を1本でも多く残すことは、健康寿命を延ばすことにもつながります。
1本の歯を守ることが、人生の豊かさを守ることにつながる。
その信念を胸に、これからも日々の診療に真摯に向き合ってまいります。


- 院長
- 奥田 幸祐
FAQ
よくあるご質問
- 保険診療との違いは何ですか?
-
保険診療では使用できる器具や材料に制限がある一方で、自費診療ではマイクロスコープやCT、MTAセメントなどの先進的な技術を活用できます。
その結果、より精密で再発リスクの少ない治療を目指すことが可能です。 - 他院で「抜歯しかない」と言われましたが、本当に治療できませんか?
-
抜歯と診断された歯でも、精密根管治療によって残せる可能性があります。正確な診断のためにCT撮影や診査を行い、適切にご説明しますので、まずはご相談ください。
- 治療にはどのくらいの期間がかかりますか?
-
症状や歯の状態によって異なりますが、精密根管治療は1〜4回程度の来院で終了することが多いです。
再発予防を重視して丁寧に進めるため、結果的に少ない通院回数で完結できるケースが多くあります。












