







こんなことで
お悩みではありませんか
- 入れ歯が合わない、はずれる
- 入れ歯が痛い
- 硬いものが噛みづらい
- 会話が聞き取りづらいと言われる
- 見た目が気になって思いきり笑えない
- 長期間の通院が難しい
オールオン4とは


「オールオン4(オール・オン・フォー)」 とは、
歯を多く失ってしまった方のためのインプラント治療の方法です。
一般的なインプラント治療は、失った歯の数だけ人工の歯根(インプラント)を埋め込む必要があります。
そのため、通常はすべての歯を失った場合は10本以上のインプラントが必要になり、手術の負担や費用がとても大きくなってしまいます。
一方、オールオン4では、わずか4本のインプラントを埋め込むだけで、すべての歯を支えることができます。
少ない本数で固定できるため、手術の負担を減らし、治療費も抑えられるのが大きな特徴です。
さらに、手術をしたその日に仮の歯が入り、すぐに噛める生活に戻れるのも従来の治療との大きな違いです。
入れ歯との違い
入れ歯は取り外し式で「外れる」「合わない」といった不快感が出やすいのに対し、オールオン4は固定式なのでしっかり噛めて外れません。
見た目も自分の歯のように自然で、会話や笑顔に自信が持てるようになります。
「まずは無料相談に
お越しください」
そんなお悩みは、一人で抱え込まずにご相談ください。
専門の歯科医師が、あなたのお口の状態に合わせて適切な治療方法をご説明します。
当院の特徴


最短半年で治療完了、
すぐに噛める安心感
当院のオールオン4治療では、手術当日に仮の歯を装着できるため、その日から食事や会話を取り戻せます。さらに、一般的なインプラント治療では1年~1年半ほどかかるケースもある中、当院では最短約6か月で最終的な人工歯が完成します。
見た目・噛み心地・耐久性のすべてに優れた口元を、短期間で実現できます。
「歯がない期間の不安を抱えたくない」「長期間通院に時間を取られたくない」という方にとって、短期間でゴールを迎えられるオールオン4は大きなメリットとなります。


自然で美しい見た目を実現
オールオン4は、ただ噛めるだけでなく、見た目の美しさ(審美性)にも優れた治療です。
入れ歯のように外れたり不自然に見えることがなく、自分の歯のように自然な仕上がりになります。さらに、オールオン4は歯肉の部分も覆うため、普通のインプラントに比べて歯ぐきのラインが整いやすく、より自然で美しい口元を実現できるのも特徴です。
また、被せ物の種類を選ぶことができるため、予算と見た目のバランスを考えて治療を進めることが可能です。


複数の専門資格を持つ
歯科医師による高度な治療
当院の院長は、国際的なインプラントの資格である「ITIインプラントスペシャリスト」、咬み合わせの専門資格「咬み合わせ認定医」、そして放射線学会「CBCT認定医」という、3つの専門資格を有しています。
オールオン4は、精密な画像診断、理想的なかみ合わせ設計、そして高度なインプラント技術を総合的に駆使することで初めて成り立つ、専門性の高い治療です。
これらすべての分野に精通しているからこそ、安全性と機能性、そして美しさを兼ね備えた治療をご提供することができます。


安心して受けられる
設備環境
当院は、オールオン4に必要なCTや専用のオペ室など、充実した設備を整えています。
精密な診断と安全性を重視した環境で、患者様に安心して治療を受けていただける体制を整えています。


不安を和らげる
静脈内鎮静法に対応
インプラント治療に不安を感じる方のために、静脈内鎮静法を導入しています。
リラックスした状態で治療を受けられるため、痛みや恐怖心が和らぎ、手術が「気づいたら終わっていた」と感じる方も少なくありません。
また、静脈内鎮静法を行う際は、大学病院から麻酔の専門医を招き、専門医が対応いたします。
安全性にも十分に配慮しておりますので、持病のある方や手術に不安をお持ちの方も、安心して治療を受けていただけます。
「まずは無料相談に
お越しください」
そんなお悩みは、一人で抱え込まずにご相談ください。
専門の歯科医師が、あなたのお口の状態に合わせて適切な治療方法をご説明します。
ご挨拶




噛む喜びと笑顔を
取り戻すために
私はこれまで、歯を失った方の噛む力や見た目の回復を専門に、多くのインプラント治療に携わってまいりました。特に、短期間・安全・審美性に優れたインプラント治療に力を入れています。
歯を失ったことで「食事が楽しめない」「入れ歯が合わず不便」といったお悩みは、想像以上に生活の質に影響します。私は、患者様一人ひとりの状況やご希望に合わせて、安心して治療を受けられる環境とわかりやすい説明を大切にしています。
当院では、ITIインプラントスペシャリストやかみ合わせ認定医、CBCT認定医の資格を持つ私が治療にあたるほか、静脈内鎮静法や最新設備を活用し、身体への負担を最小限に抑えたオールオン4治療を提供しています。
入れ歯に悩んでいる方も、これから歯を失うかもしれない方も、「噛む喜び」と「自然な笑顔」を取り戻せる治療を目指しています。まずはお気軽にご相談ください。
経歴
- 平成17年朝日大学 歯学部を首席で卒業
- 平成17年朝日大学歯学部付属病院口腔インプラント科勤務
- 平成19年松田歯科医院勤務
- 平成22年松田歯科医院 医局長 / KIC神戸インプラントセンター医局長
- 平成24年大野歯科医院 勤務 / 歯科医師や歯科技工士にむけて講演、実習を行う
- 平成25年おくだ歯科・矯正歯科 可児市広見にて開業
- 平成27年医療法人化 医療法人ALESおくだ歯科・矯正歯科
- 平成27年厚生労働省認定 歯科医師 臨床研修指導医 取得
- 令和元年ITI公認 インプラントスペシャリスト
- 令和5年日本顎咬合学会 咬み合わせ認定医 取得
- 令和5年特定非営利活動法人 放射線学会 CBCT認定医 取得
資格・所属学会等
- ITI公認インプラントスペシャリスト
- 日本顎咬合学会咬み合わせ認定医
- 特定非営利活動法人 放射線学会CBCT認定医
- 日本矯正歯科学会
- 日本口腔インプラント学会
- ITIメンバー
- ICOI 国際インプラント学会メンバー
受講歴等
- ZAGA CANTER TOKYO
Pro Arch Zygoma Implant Seminar(2023年) - ORC インプラントクリニック ZAGA CENTER TOKYO
All-on-4 Zygoma Implant Seminar(2024年) - 5-D JAPANアドバンスコース受講
- 5-D JAPAN ファンダメンタルコース
- SJCDマイクロコース受講
- ストローマンクリニカルエントリーコース受講員
- アストラテックインプラント 「ソケットリフト」イブニングセミナー受講員
- JIADS補綴6か月コース受講
- スタンダードエッジワイズコース受講
- 明石矯正研修会(S.O.R.G)レギュラーコース (Ⅰ級・Ⅱ級・Ⅲ級)受講
- Level Anchorage System レギュラーコース受講
- インビザライン臨床セミナー受講
- デーモンシステムコース受講
- ダイレクトボンディング 高橋 登先生 2日コース受講
- 臨床・下顎総義歯の吸着セミナー受講 阿部二郎先生
- BPS入門コース受講
- Ivoclar VivadentBPS クリニカル認定コース受講 国際ライセンス取得
- 日本臨床歯科補綴学会 総義歯ライブ2日間コース受講
- 筒井塾咬合療法コース受講
- 下間サマーミーティング参加
- 日本国際歯科大会参加
- 大阪大学歯学部同窓会学術講演参加
- DSSE参加
- 歯科臨床研鑚会参加
- がん患者医科歯科医療連携講習1
がん化学療法、頭頸部放射線治療における 歯科治療と口腔ケア 修了 - がん患者医科歯科医療連携講習2
がん化学療法、頭頸部放射線治療における 歯科治療と口腔ケア 修了
症例
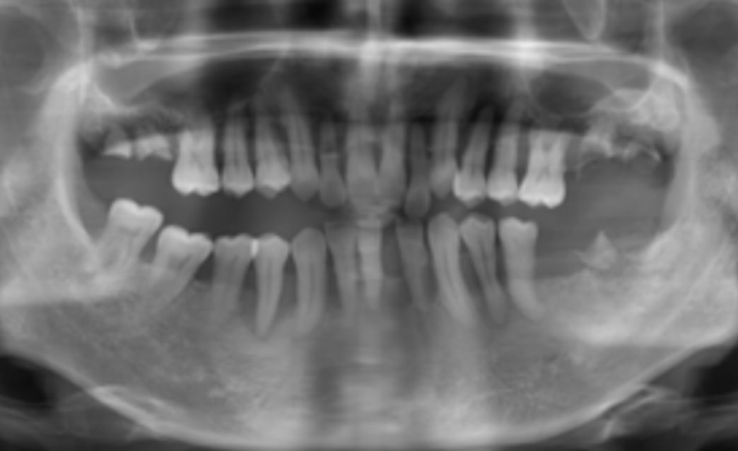
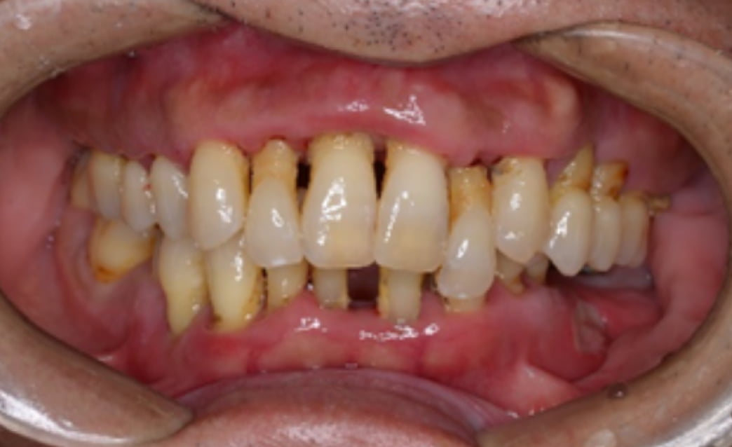
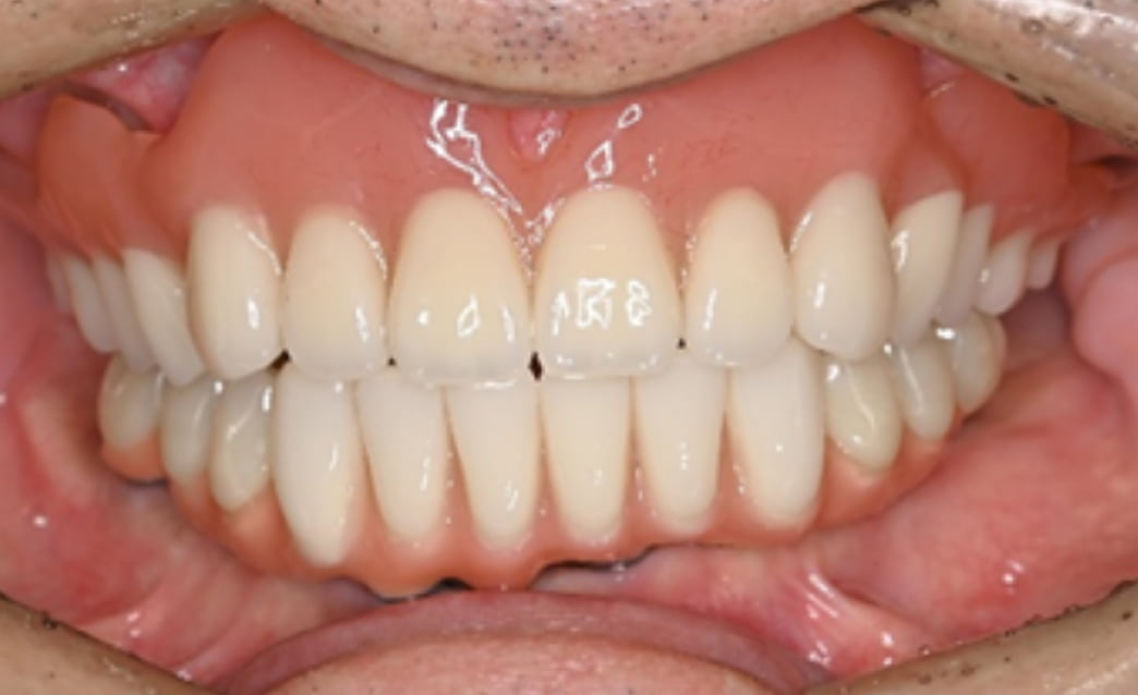
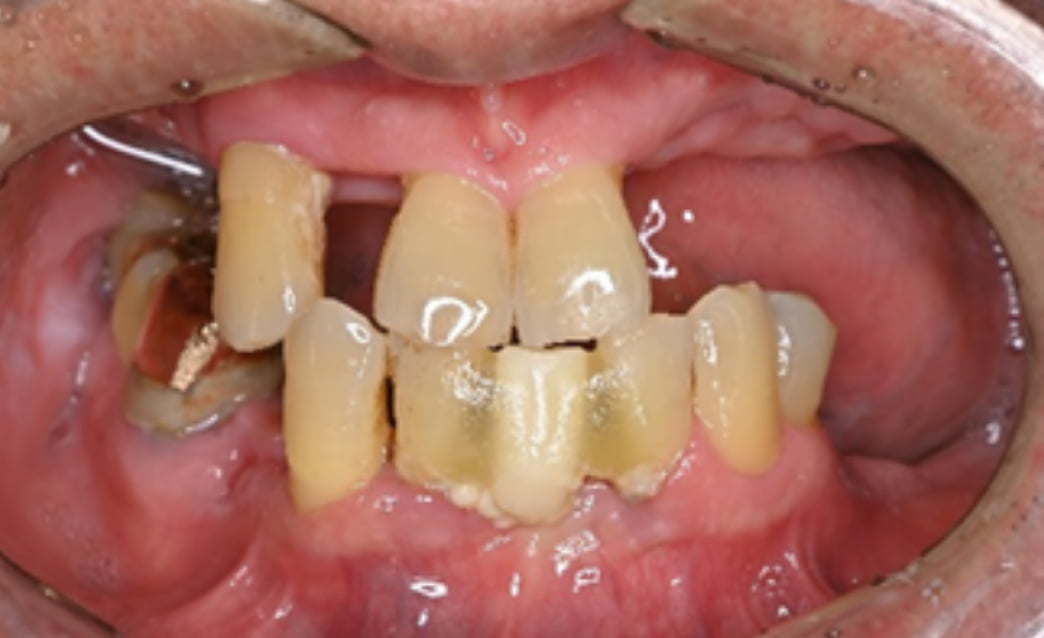
60代
Before
After








| 主訴 | 歯がぐらぐらする。 |
|---|---|
| 治療内容 | 下顎の残存歯は、歯周病が進行していたため全て抜歯をおこない、同日にインプラント埋入と仮歯の装着をしました。骨とインプラントが固定されるのを約3ヵ月待ち、型どりをして最終補綴を装着します。上顎にはフルデンチャーを使用し、快適に食事がとれています。 |
| 治療期間 | 6ヵ月 |
| 費用 | ¥3,586,000(税込み) |
| リスク・副作用 |
・外科処置が必要。コストがかかる。 |
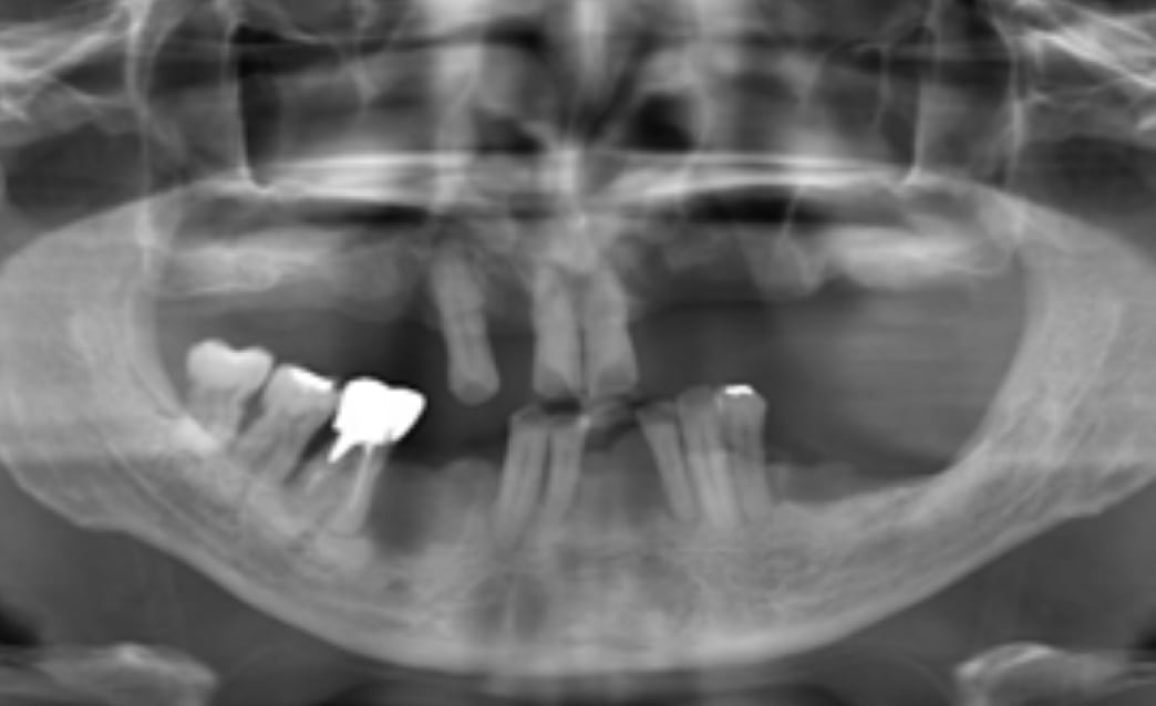
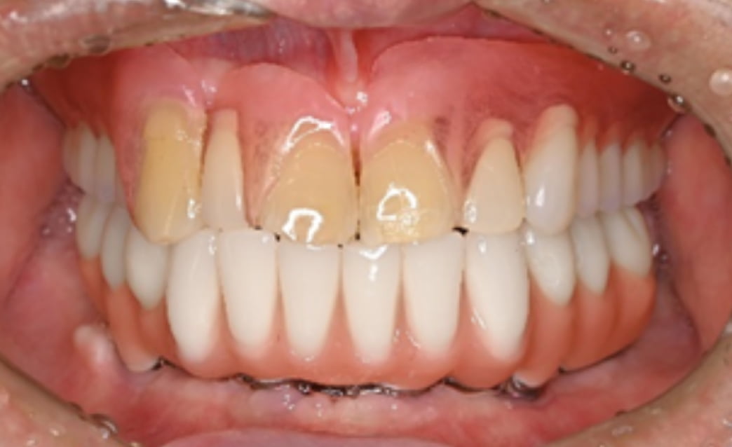
60代
Before
After








| 主訴 | 入れ歯が合わない。 |
|---|---|
| 治療内容 | 下顎の残存歯は、歯周病が進行していたため全て抜歯をおこない、同日にインプラント埋入と仮歯の装着をしました。骨とインプラントが固定されるのを約3ヵ月待ち、型どりをして最終補綴を装着します。上顎にはノンクラスプデンチャーを使用し、快適に食事がとれています。 |
| 治療期間 | 6ヵ月 |
| 費用 | ¥3,586,000(税込み) |
| リスク・副作用 |
外科処置が必要。コストがかかる。 |
費用
- オールオン4 アクリルレジン
- ¥3,190,000(税込み)
- オールオン4 アクリルレジン ジルコニアteeth
- ¥3,586,000(税込み)
- オールオン4 メタルボンド
- ¥5,280,000(税込み)
- 静脈内鎮静法
- ¥121,000(税込み)
価格はすべて税込みです。
被せ物の種類によって金額が異なります。詳しくは初診カウンセリングにてご案内いたします。
お支払い方法
デンタルローンのご案内
デンタルローンで毎月の負担を軽減して治療を受けることができます。
オールオン4などのインプラント治療は高額になりがちですが、デンタルローンを利用することで、月々の負担を抑えて治療を受けられます。
アプラスデンタルローンを活用した場合の支払い例
月々46,200円×84回払い
(オールオン4片顎¥3,190,000の場合、金利5.8%)
初回のお支払いは54,329円です。
支払金額の合計は3,888,929円です。
申し込み方法については当院のスタッフよりご案内いたします。審査も簡単で、事前のご相談も可能です。
医療費控除も受けることができます。
医療費控除について
オールオン4を含むインプラント治療は、医療費控除の対象になる場合があります。
医療費控除とは、1年間に支払った医療費の一部を、所得税から控除できる制度です。
控除の対象となるのは、治療費や診断に直接かかった費用、通院の交通費などです。具体的には、治療費の領収書や交通費の記録を確定申告で提出することで、税金の還付を受けられる可能性があります。
控除の対象や計算方法は個々の状況により異なります。詳しくは、最寄りの税務署や税理士にご相談ください。
安心の10年保証
当院では、インプラント治療を受けられた患者様に、インプラント治療終了から10年間インプラント本体を保証させていただきます。
インプラント治療の再手術や再治療はなかなかありませんが、万が一の場合に備えてインプラントの保証制度があると安心していただけると思います。
以下の場合は保証対象外となりますので、あらかじめご了承ください。
- 患者様自身の不注意や不慮の事故など、明らかに当院の責任でない場合
- 定期検診を受けていただけなかった場合
「保証の対象とならない場合」に該当する場合には、保証期間であっても再治療・再製作再装着・修理の費用は有料となります。ご了承ください。
「まずは無料相談に
お越しください」
そんなお悩みは、一人で抱え込まずにご相談ください。
専門の歯科医師が、あなたのお口の状態に合わせて適切な治療方法をご説明します。
治療の流れ
-


精密検査
オールオン4治療を始める前には、骨の状態や全身の健康状態など詳しく検査する必要があります。精密なCT撮影や、口腔内の検査を行い、安全にオールオン4治療を行うための確認をします。
-


診断・治療計画
結果をもとに、オールオン4が適しているかを診断し、治療計画をご提案します。治療期間や費用についても、この段階で丁寧にご説明いたします。
-


手術(インプラント埋入)
局所麻酔や静脈内鎮静法を併用し、できるだけ痛みや不安を軽減して手術を行います。 インプラントを4本埋入し、その日のうちに仮歯を装着することが可能です。
-


人工歯の装着
約3か月の治癒期間を経て、最終的な人工歯(被せ物)を装着します。
かみ合わせや発音まで丁寧に整え、自分の歯のように自然な見た目と快適な噛み心地を実現。耐久性にも優れ、日常生活を安心して過ごしていただけます。 -


メンテナンス
治療後は、インプラントを長持ちさせるために定期的なメンテナンスが欠かせません。 専門的なクリーニングと検診を行い、清潔な口腔環境を保ちます。
よくあるご質問
- 入れ歯とオールオン4はどう違うのですか?
- 入れ歯は取り外して使う装置ですが、オールオン4は顎の骨に固定するためズレや外れがありません。
硬いものも噛みやすく、会話もスムーズになります。 - 手術は痛くありませんか?
- 手術は局所麻酔に加えてご希望の方には「静脈内鎮静法」に対応しているため、眠っているような感覚でリラックスして受けられます。ご不安な方はカウンセリングにてご相談ください。
術後は腫れや痛みが出る場合もありますが、ほとんどの方が数日で落ち着きます。 - 手術した日に歯が入るって本当ですか?
- はい。当院のオールオン4では、手術当日に仮歯を装着できます。
その日のうちに食事や会話が可能で、治療期間も短縮できます。 - 治療期間はどのくらいかかりますか?
- 手術当日に仮歯を入れ、その後3か月の治癒期間を経て、最終の人工歯の製作に取りかかります。 トータルで約半年ほどで完了するのが一般的です。
- 高齢でもオールオン4はできますか?
- 年齢だけで制限されることはありません。
骨の状態や全身の健康状態によっては治療が難しい場合もありますが、70代・80代で治療を受けられる方もいらっしゃいます。ご不安な方は無料カウンセリングにてご相談ください。 - 他院で「インプラントは難しい」と言われましたが、オールオン4はできますか?
- オールオン4は、従来のインプラント治療に比べて、あごの骨が少ない方でも対応できる可能性が高い方法です。そのため、他院で「骨が足りない」と言われた方でも、治療を受けられる場合があります。
まずはCT撮影でしっかり検査を行い、本当に治療が可能かどうかを判断いたします。諦める前に、ぜひ一度ご相談ください。 - 骨が少なくても大丈夫ですか?
- 従来のインプラント治療では骨を増やす治療が必要でしたが、オールオン4は骨が少ない部分を避けて埋入できるため、骨を増やす治療が不要なケースが多いのが特徴です。
- メンテナンスは必要ですか?
- はい。インプラントを長持ちさせるためには毎日のセルフケアと定期的な歯科医院でのメンテナンスが欠かせません。当院では専門スタッフによるチェックとクリーニングを行います。
無料カウンセリングフォーム
ご予約の前にご一読ください
- カウンセリングをご希望の方は、下記の専用フォームをご利用下さい。
- カウンセリング希望日を入力欄を設けておりますが、当院からの折り返しでのご連絡にて正式にご予約が完了となります。
ご希望日に添えない場合もございますので、予めご了承下さい。
- 休診日にご連絡を頂いた場合、折り返しのご連絡は翌診療日以降となりますので、予めご了承下さい。
年末年始・ゴールデンウィーク・夏季休暇等の長期休診期間は、休み明けのご連絡となります。
- カウンセリングのご希望日時については、必ず第2希望までご入力下さい。
- 下記フォームより送信後、必ず自動返信メールが届きます。
- メールアドレス欄に携帯電話メールアドレスをご入力の場合、「指定ドメイン以外のメール着信拒否設定」等を行っておられる方は、設定を変更して頂かないと当院からのご返信メールを受信して頂けない可能性がございます。
- 当院からの送信時のメールアドレスドメイン(@以降部分)はokuda-shika.jpです。
診療時間
月・金・土9:00 ~ 12:30 / 13:30 ~ 18:00
月・水9:00 ~ 12:30 / 14:00 ~ 18:00
休診日
木・日・祝日
(祝祭日のある週は木曜日診療)